その他 - LOHASデンタルクリニック

奈良県でインプラント専門口腔外科医による治療 LOHASデンタルクリニック

Instagram
>>ENGLISH

ご予約・お問い合わせ 0742-93-8363

インスタグラム

news新着情報

その他

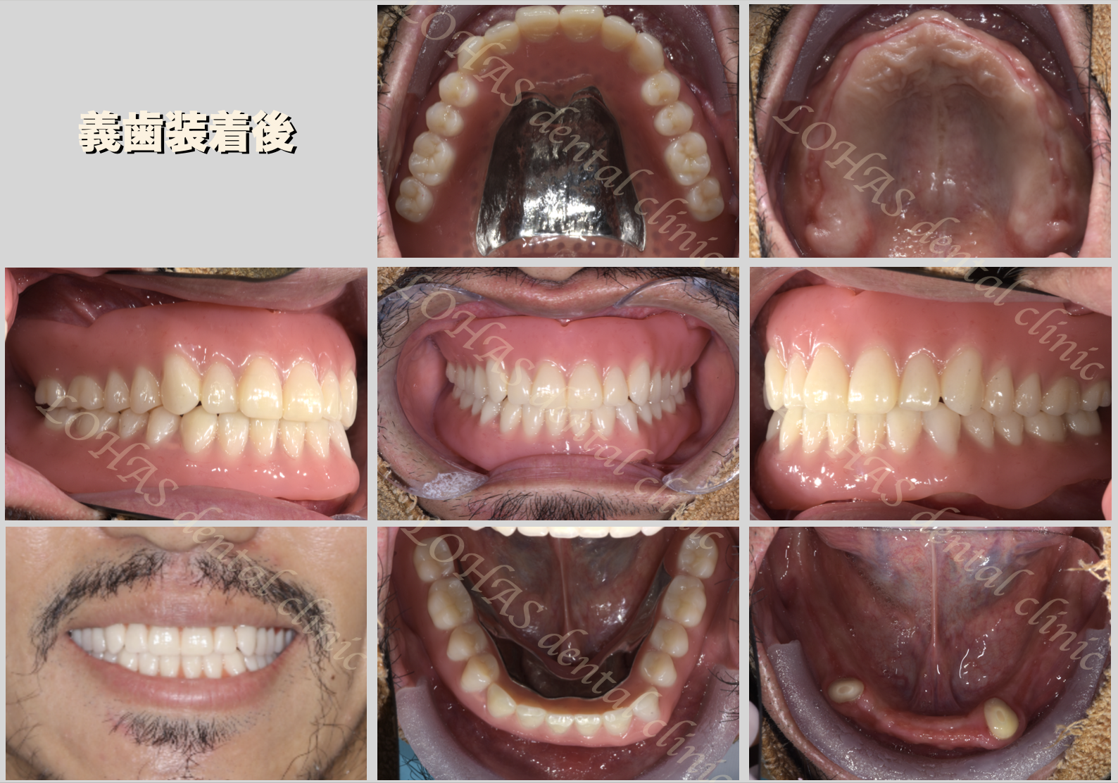
以前から重度の歯周病に悩まれていた患者様で総入れ歯にしたことで見...

全ての歯が揺れているとのことでインプラント治療が可能かを知りたくて来院してくださいました。 まだ若い患...

more

診療時間
09:00〜18:00 - -

【休診日】木曜・日曜・祝日

(※土曜にセミナーがある週は木曜に振替診療します)

 ・休憩時間:12:30〜13:30(60分)

 ・最終受付時間:1時間前(17:00まで)

近鉄奈良線、京都線・橿原線
大和西大寺駅下車 北口より徒歩3分

〒631-0821 
奈良県奈良市西大寺東町1丁目4-46 アマービレ秋篠1階

お車でお越しの方へ

クリニックに併設されている駐車スペースですが、5月以降は建物の共有スペースとなりますため、ご利用がいただけなくなります。
車でお越しの方は、恐れ入りますが近隣の駐車場をご利用ください。
※長時間のオペに関しては許可をいただいておりますので、利用希望の際は予め受付にお申し出ください。