ホワイトニング - 奈良でインプラント専門口腔外科医による治療なら「LOHASデンタルクリニック」

奈良県でインプラント専門口腔外科医による治療 LOHASデンタルクリニック

Instagram
>>ENGLISH

ご予約・お問い合わせ 0742-93-8363

インスタグラム

Whiteningホワイトニング

何度リタッチを繰り返しても、すぐ元の色に戻ってしまう…。
当院のホワイトニングは、「後戻りしにくい白さ」にこだわります。

食事制限なし、個室でリラックス、3ヶ月集中で本物の白さを。

大人のためのホワイトニング

年齢を重ねるごとに、歯の色だけでなく「清潔感」や「印象」も気になってくるもの。

でも、若い世代向けのスピード重視のホワイトニングでは、物足りなさを感じてしまう…。

だからこそ私たちは、時間と空間にこだわった“大人のためのホワイトニング”をご用意しました。

リラックスできる専用個室で、丁寧に、じっくりと。

本当に納得できる美しさを、あなたのペースで手に入れてください。

こんなお悩み、ありませんか?

こんなお悩み、ありませんか

・若い頃に比べて歯の黄ばみが気になる

・通常のホワイトニングでは満足できなかった

・落ち着いた空間でリラックスしながらケアしたい

・健康的な印象を大切にしたい

・リタッチを繰り返しているが、すぐ色が戻ってしまう

・食事制限が多く、ホワイトニング中の生活が不便だった

そんなお悩みをお持ちの方には、大人のために設計された、じっくり丁寧に行う当院のホワイトニングがおすすめです。

当院のホワイトニングの特徴

専用のホワイトニングルームを完備

専用のホワイトニングルームを完備

施術はすべて個室で行い、プライバシーに配慮した空間設計となっています。

アロマの香りがほのかに漂う静かな室内は、落ち着いた内装で統一されており、施術中も心からリラックスしてお過ごしいただけます。

時間をかけた丁寧な施術

時間をかけた丁寧な施術

1回あたりの施術時間も十分に確保しており、慌ただしさのない丁寧なケアを行っています。

また、目先の“白さ”だけでなく、白さの「持続性」にこだわった施術を大切にしています。

食事制限がほぼ不要

食事制限がほぼ不要

一般的なホワイトニングでは、治療中の食事制限(カレー・赤ワイン・コーヒーなどを避ける)が必要なケースが多くあります。

当院で使用している薬剤は、治療中の食事制限をほぼ必要としないため、日常生活を変えることなく施術を続けていただけます。

後戻りしにくい白さ

後戻りしにくい白さ

一般的なホワイトニングでは、白くなった後も半年に1回程度のリタッチが必要になることがほとんどです。

当院のデュアルホワイトニング(オフィス+ホームの組み合わせ)は、後戻りしにくく、長期間にわたって白さをキープしやすいのが特徴です。

「何度やっても色が戻る」とお悩みの方にこそ、一度ご体験いただきたい施術です。

当院で行ったホワイトニングの症例

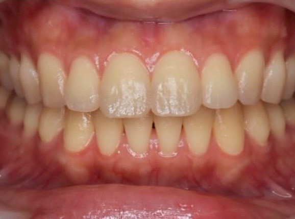
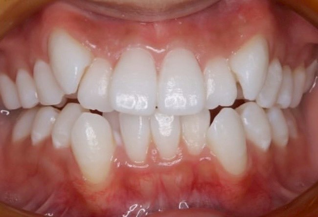
case:1
ホワイトニング3ヶ月集中プランの症例(1)

ホワイトニングの症例

治療前

ホワイトニングの症例

治療後

処置内容 ホワイトニング3ヶ月集中プラン
プラン内容詳細 ・オフィスホワイトニング6回
・プロフェッショナルクリーニング(スタンダードケア)1回分
・ホームホワイトニングスタートセット(上下トレー、ジェル5日分×2本)
・ホームジェル5日分×16本
・ホワイトニング専用ペースト 1本
・付属品(トレーケース)プレゼント
費用 280,500円(税込)
※一月あたり93,500円(税込)
リスク副作用 オフィスホワイトニングは、施術後に一時的なしみ(知覚過敏)が出ることがあります。施術後24〜48時間は着色しやすい時期のため、飲食物に少し注意すると安心です。歯ぐきに軽い刺激を感じる場合や、元の歯の色・詰め物の影響で仕上がりに差が出ることもあります。

ホームホワイトニングも、一時的なしみが出ることがあります。マウスピースの当たり方で歯ぐきに違和感が出る場合があり、使用時間や回数によって色の出方・効果のスピードに個人差が出ます。

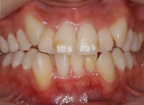
case:2
ホワイトニング3ヶ月集中プランの症例(2)

ホワイトニングの症例

治療前

ホワイトニングの症例

治療後

処置内容 ホワイトニング3ヶ月集中プラン
プラン内容詳細 ・オフィスホワイトニング6回
・プロフェッショナルクリーニング(スタンダードケア)1回分
・ホームホワイトニングスタートセット(上下トレー、ジェル5日分×2本)
・ホームジェル5日分×16本
・ホワイトニング専用ペースト 1本
・付属品(トレーケース)プレゼント
費用 280,500円(税込)
※一月あたり93,500円(税込)
リスク副作用 オフィスホワイトニングは、施術後に一時的なしみ(知覚過敏)が出ることがあります。施術後24〜48時間は着色しやすい時期のため、飲食物に少し注意すると安心です。歯ぐきに軽い刺激を感じる場合や、元の歯の色・詰め物の影響で仕上がりに差が出ることもあります。

ホームホワイトニングも、一時的なしみが出ることがあります。マウスピースの当たり方で歯ぐきに違和感が出る場合があり、使用時間や回数によって色の出方・効果のスピードに個人差が出ます。

当院で取り扱うホワイトニングメニュー

オフィスホワイトニング(歯科医院での施術)

オフィスホワイトニング

即効性が高く、1回の施術で白さを実感しやすいホワイトニング方法です。

歯科医院で専用のホワイトニング剤と特殊なライトを使用し、歯を白くします。

特徴

・短期間で白さを実感できる

・歯科医師・歯科衛生士が施術するため、安心・安全

・1回の施術で効果を実感しやすい

ホームホワイトニング(自宅での施術)

ホームホワイトニング

自宅で好きな時間にホワイトニングができる方法 です。

専用のマウスピースを作成し、ホワイトニングジェルを使用して徐々に白くしていきます。

特徴

・じっくり時間をかけて白くする

・自分のペースで好きな時間にできる

・色戻りしにくく、白さを長期間キープできる

デュアルホワイトニング(オフィス+ホーム)とは

当院の3ヶ月集中プランは、オフィスとホームを組み合わせた「デュアルホワイトニング」です。

オフィスホワイトニングでスピーディーに白くしながら、ホームホワイトニングで色をじっくり定着させる二段階のアプローチにより、単独施術よりも後戻りしにくく、長く白さを維持しやすいのが最大の特徴です。

リタッチを繰り返しても色が戻ってしまうという方には、特にこのプランをお勧めしています。

ホワイトニングの流れ

ホワイトニングの費用

※表はスクロールできます。

おすすめコース

コース名 内容 総額(税込) 1ヶ月あたり
1ヶ月コース (オフィス+ホーム併用) 121,000円 121,000円
3ヶ月コース (オフィス+ホーム併用) 280,500円 約93,500円
6ヶ月コース (オフィス+ホーム併用) 319,000円 約53,167円

単品メニュー

オフィスホワイトニング 60分(基本16本、8分×2回) 22,000円(税込)
インターナルホワイトニング 1歯 55,000円(税込)

オプション・消耗品

ホームホワイトニングスタートセット 上下トレー & ジェル約10日分 44,000円(税込)
ホームホワイトニング薬液 (濃度10%・16%)10日分 8,800円(税込)
ホームホワイトニング薬液 (濃度22%・35%)10日分 11,000円(税込)
パールトゥースケア ホワイトニング専用ペースト 3,300円(税込)
プロフェッショナルクリーニング スタンダードケア(60分) 11,000円(税込)
ガムマッサージ 10分 1,100円(税込)

それぞれの患者様のご希望に沿ったプランに加えて、お得なコースメニューもご用意しております。お気軽にお問い合わせください。

診療時間
09:00〜17:30 - -

【休診日】木曜・日曜・祝日

(※土曜にセミナーがある週は木曜に振替診療します)

 ・休憩時間:12:30〜13:30(60分)

 ・最終電話受付:17:00まで

近鉄奈良線、京都線・橿原線
大和西大寺駅下車 北口より徒歩3分

〒631-0821 
奈良県奈良市西大寺東町1丁目4-46 アマービレ秋篠1階

お車でお越しの方へ

クリニックに併設されている駐車スペースですが、5月以降は建物の共有スペースとなりますため、ご利用がいただけなくなります。
車でお越しの方は、恐れ入りますが近隣の駐車場をご利用ください。
※長時間のオペに関しては許可をいただいておりますので、利用希望の際は予め受付にお申し出ください。