根管治療 - 奈良でインプラント専門口腔外科医による治療なら「LOHASデンタルクリニック」 | LOHASデンタルクリニック

奈良県でインプラント専門口腔外科医による治療 LOHASデンタルクリニック

Instagram
>>ENGLISH

ご予約・お問い合わせ 0742-93-8363

インスタグラム

Root Canal Treatment根管治療

抜歯と診断されても、まだ歯を残せる可能性があります

根管治療

当院はインプラント治療を専門とする歯科医院ですが、私たちは「できるだけご自身の歯を残すこと」を大切にしています。

他院で「抜歯しかない」と診断されたとしても、本当にその歯を諦めるしかないのでしょうか?

当院には、歯を残す治療である精密根管治療の専門医と、歯を失った後の治療であるインプラントの専門医が在籍しています。

この二人の専門家が連携し、それぞれの視点から診断を行うことで、抜歯するメリット・デメリットと、歯を残せる可能性を多角的に見極めることが可能です。
「抜歯」という選択肢を安易に選ぶ前に、まだ歯を残せる可能性がないか、まずは一度当院にご相談ください。

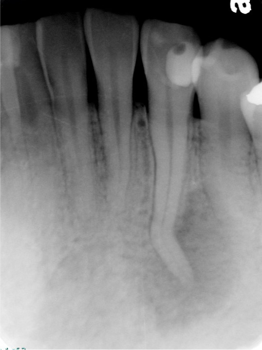
当院で行った根管治療の症例

case:1
検査で原因を見極め、不要な抜髄(神経を取る処置)を回避できたケース(非歯原性疼痛の疑い)

根管治療の症例

正放線投影(正面からまっすぐ)

根管治療の症例

偏遠心投影(後ろ(奥側)からナナメに)

2週間ほどズキズキした痛みが続き、温かいものがしみる症状がありました。かかりつけでは「抜髄が必要かもしれない」として紹介となりましたが、歯内療法の専門的な検査で感染や根の病気の可能性を丁寧に確認したところ、抜髄を急ぐ所見が乏しい状態でした。いったん経過観察とし、1週間後に痛みが消失。再評価でも所見は変わらなかったため、抜髄は行わず、修復物の調整・やり替え対応で終了しました。

年齢性別 40代・女性
主訴 2週間前からズキズキ痛む/温かいものがしみる
治療部位 左上7番
治療内容 診査・診断 → 経過観察 → 再評価 → 抜髄は行わず、修復物のやり替え依頼
治療回数 検査回数2回
リスク副作用 検査や経過観察の間に症状が再燃する可能性があります。必要に応じて追加検査や治療方針の変更が必要になる場合があります。

担当医からのコメント

2週間ほどズキズキした痛みが続き、温かいものがしみる症状がありました。かかりつけでは「抜髄が必要かもしれない」として紹介となりましたが、歯内療法の専門的な検査で感染や根の病気の可能性を丁寧に確認したところ、抜髄を急ぐ所見が乏しい状態でした。いったん経過観察とし、1週間後に痛みが消失。再評価でも所見は変わらなかったため、抜髄は行わず、修復物の調整・やり替え対応で終了しました。

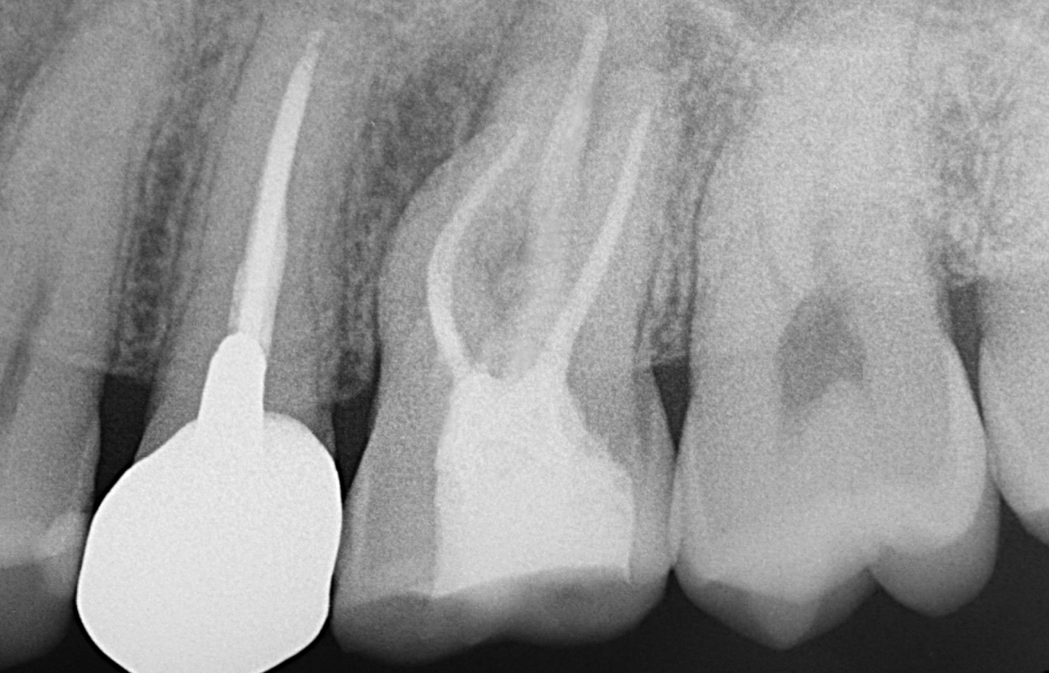
case:2
湾曲した根管でも、歯をできるだけ削らずに初回治療を行えたケース(低侵襲な根管治療)

根管治療の症例

術前

根管治療の症例

術後2年4ヶ月

根管が大きく曲がっている歯は、器具操作が難しく、治療のために削る量が増えやすい傾向があります。本症例では、根管形態を正確に把握したうえで、湾曲根管に適した器具選択と精密な操作を行い、必要最小限の切削で根管治療(初回治療)を完了しました。

年齢性別 30代・女性
主訴 下の歯ぐきが腫れている
治療部位 左下3番
治療内容 初回根管治療(湾曲根管に対し、削る量を抑えた形成・根管充填の方針)
治療回数 2回
リスク副作用 治療後に痛みや違和感が出ることがあります。根管の形態によっては治療回数が増えたり、再治療が必要になる場合があります。

担当医からのコメント

難しい形態ほど、治療結果は「勘」ではなく「手順と精度」に左右されます。歯内療法の専門医が担当することで、湾曲根管のような難易度の高いケースでも、歯質をできるだけ温存しながら、再発リスクを下げる治療を目指せます。

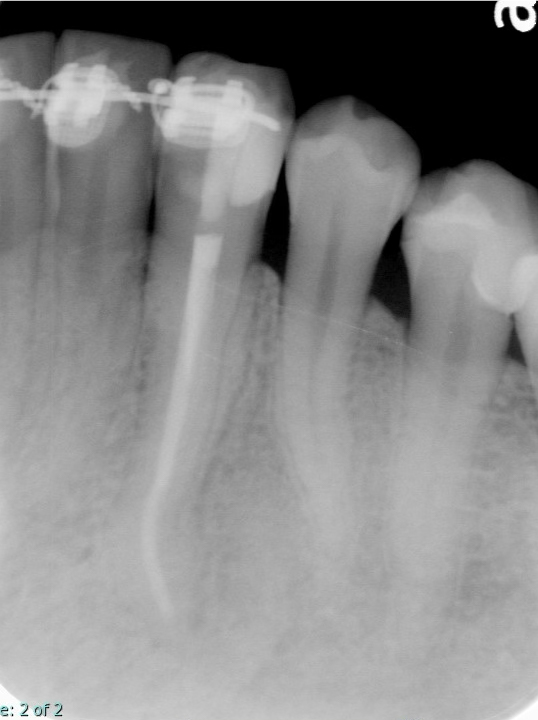
case:3
穿孔(歯に穴が開いた状態)を封鎖し、再根管治療で改善したケース(トラブルのリカバリー)

根管治療の症例

術前

根管治療の症例

術後1年

他院で行った過去の処置の影響で、歯の内部に穿孔(本来ない部位に穴が開く状態)が生じ、分岐部付近に根管充填材が迷入している状態でした。歯内療法の専門的な視点で穿孔部位を正確に特定し、迷入した充填材を除去。穿孔部を封鎖(封鎖処置)したうえで、根管治療を再度行い、経過観察で症状と所見の改善を確認しました。

年齢性別 10代・男性
主訴 腫れている
治療部位 左下6番
治療内容 穿孔部のガッタパーチャ除去 → 穿孔封鎖 → 再根管治療
治療回数 2回
リスク副作用 穿孔の位置や大きさによっては封鎖が難しく、治癒が得られない場合があります。術後に腫れや痛みが出ることがあり、経過観察が必要です。

担当医からのコメント

穿孔は、根管治療の中でも特に難易度が高いトラブルの一つです。診断が曖昧なまま進めると悪化することもありますが、歯内療法の専門医が状態を的確に見極め、封鎖を適切に行うことで、抜歯を回避できる可能性があります。

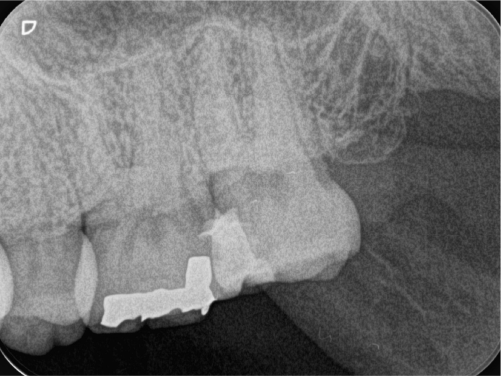
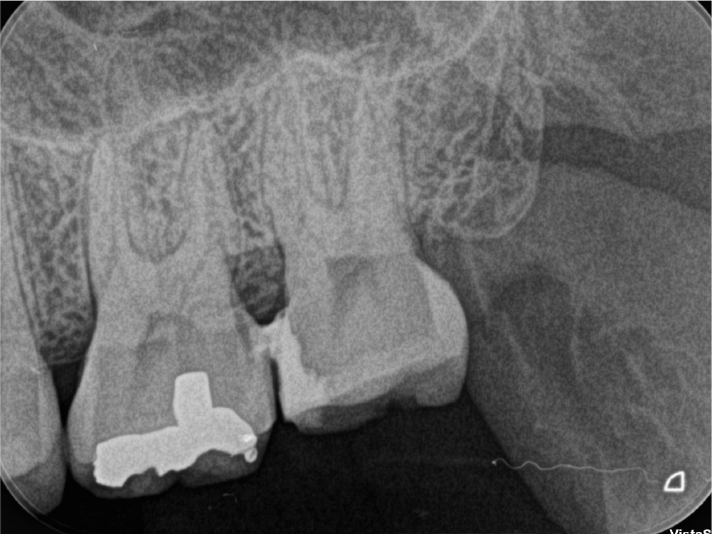
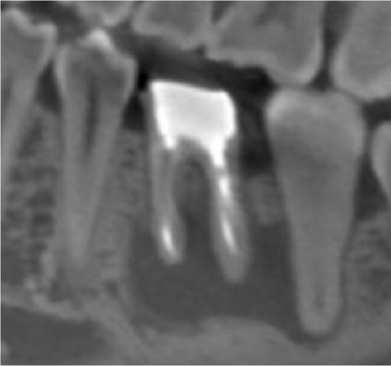
case:4
再治療で改善しない腫れに対し、外科的歯内療法(歯根端切除)で治癒したケース

根管治療の症例

術前

根管治療の症例

術後9ヶ月

歯ぐきの腫れと膿の出口(サイナストラクト)があり、検査により原因歯を特定しました。再根管治療で根管内の感染コントロールを試みましたが症状が改善せず、CTで病変範囲を精査。

根管治療の症例

近心根切断面

根管治療の症例

遠心根切断面

上記の写真は、歯根端切除後の切断面を顕微鏡を用いて精査している写真です。 歯内療法の専門医が外科的歯内療法(歯根端切除)を行い、術後の経過で骨の回復が確認でき、良好な治癒につながりました。

年齢性別 30代・男性
主訴 右下の銀歯のところが腫れている/膿が出る(サイナストラクト)
治療部位 右下6番
治療内容 瘻孔トレースで原因歯特定 → 再根管治療 → 改善乏しく外科的歯内療法(歯根端切除・逆根管充填)
治療回数 1回(根管治療含めると3回)
リスク副作用 外科処置後に腫れ・痛み・出血が生じることがあります。状態によっては治癒が得られず、追加治療や抜歯が必要になる場合があります。

担当医からのコメント

再根管治療だけでは改善が難しいケースでも、外科的歯内療法という選択肢で歯を残せる場合があります。外科を含めた難易度の高い処置まで一貫して対応できるのは、歯内療法を専門に診ている強みの一つです。「抜歯しかない」と言われた歯でも、状態次第では保存の可能性があります。

根管治療とは?

根管治療

根管治療とは、むし歯や感染が歯の神経(歯髄)まで進行した場合に、歯を残すために行う治療です。歯の内部(根管)にある感染した神経や細菌を徹底的に除去し、薬剤で密封することで、炎症の再発を防ぎます。

この治療が成功すれば、抜歯せずに歯を残すことが可能になります。しかし、根管の構造は複雑で、非常に精密な処置が求められるため、治療の成功率には技術や設備の違いが大きく影響します。

根管治療の成功率「日本とアメリカの違い」

根管治療の成功率は、国や治療環境によって大きく異なります。この違いを比較することで、精密根管治療の重要性がよりご理解いただけます。

※表はスクロールできます。

日本 アメリカ
成功率 約50〜60%(一般的な歯科医院の治療) 約90%(専門医による精密根管治療)
主な使用設備・技術 一般的な歯科器具、マイクロスコープやCTの導入は少ない マイクロスコープ・CTを標準使用
ラバーダム防湿を徹底
専門性 一般の歯科医師が治療を行うことが多い 根管治療専門医(Endodontist)が行うことが多い

当院では、アメリカの治療基準を取り入れ、根管治療の専門医が在籍し、マイクロスコープ・CT診断・ラバーダム防湿を活用した精密な治療を行っています。これにより、より高い成功率を実現し、患者様の歯をできるだけ長持ちさせることを目指しています。

根管治療が難しい理由

根管治療は、一般的なむし歯治療に比べて非常に高度な技術を必要とします。その理由は、肉眼では見えないほど微細で複雑な根管内を、徹底的に清掃・消毒する必要があるからです。

根管の構造が複雑

根管の構造

歯の根の内部にある根管は、一本の太い管ではなく、非常に細かく枝分かれし、曲がりくねった形状をしています。その複雑さは人それぞれ異なり、まるで樹木の根のように複雑に入り組んでいます。肉眼でこの細部を正確に確認することは不可能で、感染した部分を完全に見つけるには、CTマイクロスコープといった精密な機器が不可欠です。

細菌の完全な除去が困難

根管内に感染が広がると、無数の細菌が根管の壁や枝分かれした細部に潜り込みます。これらの細菌はバイオフィルムと呼ばれる膜を形成し、通常の洗浄だけでは除去しきれません。少しでも細菌が残ってしまうと、それが再感染の原因となり、治療は失敗に終わってしまいます。そのため、専門的な洗浄方法や強力な消毒剤を用いて、徹底的に細菌を取り除く必要があります。

感染を防ぐための精密な処置が必要

ラバーダム防湿

根管治療は無菌的な環境で行うことが極めて重要です。治療中に患者さんの唾液や口腔内の細菌が根管内に侵入すると、たちまち再感染が起こってしまいます。これを防ぐために、ラバーダム防湿というゴム製のシートで治療部位を唾液から隔離する処置が不可欠です。しかし、この処置は手間がかかるため、日本での健康保険の根管治療で用いている歯科医院は残念ながら少ないです。

再発のリスクがある

根管治療は一度で完全に成功するとは限りません。たとえ一時的に症状が治まったとしても、細菌がわずかに残っていたり、適切な処置が行われなかったりすると、数年後に再び炎症や痛みが再発するリスクがあります。再発した場合は、再度治療が必要となり、初回よりもさらに難易度が高くなります。そのため、最初の治療で高い成功率を目指すことが最も重要です。

再発のリスク

実際、東京医科歯科大学の調査によると、根管処置を行った歯のうち約50〜70%が再治療を必要としていることが分かっています
このグラフは、日本国内における根管治療後の再治療発生率を示したものです。

歯の状態によって難易度が変わる

根管治療の中でも、特に再根管治療(他院で治療後のやり直し)は非常に難易度が高くなります。
前医での治療内容によっては、歯が大きく削られている場合や、歯に穿孔がある場合折れた器具(ファイル)が残っている場合など、状況はさまざまです。
また、弱っている歯が精密根管治療で治ったとしても、歯の強度は低下しているため、慎重な経過観察が必要となります。
そのため、歯1本1本の予知性については、専門医ときちんと相談することが大切です。

精密な根管治療で歯を守るために

根管治療

当院では、根管治療を専門とする歯科医師が在籍し、アメリカ基準の精密根管治療を実施しています。

・CT診断・マイクロスコープを活用し、正確な処置を実施
・ラバーダム防湿を徹底し、治療中の細菌感染を防止
・成功率を高めるため、複数回にわたる精密な洗浄・消毒

「抜歯しかない」と診断された場合でも、まだ歯を残せる可能性があります。
まずは一度、当院にご相談ください。

根管治療の流れ

根管治療で治癒しない歯に関しては

残念ながら、どれだけ綺麗に根管内を清掃しても一定数、完全に治癒をしない歯もあります。その原因が「歯の破折」であれば、残念ながら抜歯を検討しなければなりません。
しかし、歯の破折やクラックがない場合には「外科的歯内療法」という方法があります。
なお、根管治療の段階では確認できなかった歯の破折が、この外科的歯内療法の過程で初めて見つかるケースもあります。
この方法は歯の中からのアプローチではなく、外科的に感染源を除去する方法になります。具体的には

・歯根端切除術
・意図的再植法

の2つになります。

歯根端切除術

歯根端切除術

歯の根の端を外科的に切断し、周りの膿を掻爬・摘出する方法です。当院ではさらに歯根を切断した後に逆根管窩洞形成・逆根管充塡を行っております。

この治療を行うためには、その他の感染経路の有無、歯根破折の有無を精査する必要があり、歯科用手術顕微鏡での観察が必須になります。

専門的な知識や技術はもちろん、超音波チップやMTAセメントといった先進の医療機器が必須となる治療法といえます。

意図的再植法

意図的再植法

外科処置ではアプローチが難しい部位や、神経との位置関係で歯根端切除法が難しい場合に行います。原因の歯を一度抜歯し、口の外で歯の尖端を切除し、逆根管形成・逆根管充塡の後に歯を元の位置に戻します。

ただし、この治療法は一旦原因歯を抜歯するため、抜歯の際に歯が割れたり骨性癒着などの術後の合併症が生じる恐れがあるので、高度な技術が求められる治療法となります。

精密な根管治療には高度な技術が求められます

このように精密な根管治療は非常に難易度も高く、技術が求められる治療法になります。
残念ながら、健康保険治療が土台になっている日本の医療制度では、ラバーダム防湿などきちんとした環境下で根管治療を行っている歯科医院は大変少ないのが現状です。
当院でも、過去の根管治療が不適切であったために再根管治療を行うケースがとても多く感じております。

歯を残すか、インプラントに進むか

根管治療

歯をきちんと治療して残すか、もしくは抜歯を行いインプラント治療に進むかに関しては患者様にとっても大きな決断となりますので、ぜひ当院で専門の歯科医師とよくご相談いただき、前向きに治療に臨んでいただければと思います。

またこのページに上げた内容以外にも、歯の保存に導く方法はございますので、ご興味のある方はぜひご来院ください。

関連ページ:インプラント治療はこちら >>

精密根管治療の費用

根管治療(前歯・小臼歯) 77,000円(税込)/1歯
根管治療(前歯・小臼歯) ※再根管治療 99,000円(税込)/1歯
根管治療(大臼歯) 99,000円(税込)/1歯
根管治療(大臼歯) ※再根管治療 121,000円(税込)/1歯
根管診断料 ※根管治療費用にプラスで必要です 44,000円(税込)/1歯
歯根端切除術(apico) ※根管治療を行う場合 66,000円(税込)/1歯
歯根端切除術(apico) 99,000円(税込)/1歯
診療時間
09:00〜18:00 - -

【休診日】木曜・日曜・祝日

(※土曜にセミナーがある週は木曜に振替診療します)

 ・休憩時間:12:30〜13:30(60分)

 ・最終受付時間:1時間前(17:00まで)

近鉄奈良線、京都線・橿原線
大和西大寺駅下車 北口より徒歩3分

〒631-0821 
奈良県奈良市西大寺東町1丁目4-46 アマービレ秋篠1階

お車でお越しの方へ

クリニックに併設されている駐車スペースですが、5月以降は建物の共有スペースとなりますため、ご利用がいただけなくなります。
車でお越しの方は、恐れ入りますが近隣の駐車場をご利用ください。
※長時間のオペに関しては許可をいただいておりますので、利用希望の際は予め受付にお申し出ください。