26/03/14
奥歯にインプラントを希望され来院されたが、一旦インプラント治療を中止された患者様(M.Bさん)【50代・男性】

『前歯をインプラントにしたいけれど、治療中に「前歯がない期間」があると聞いて不安です』
『仕事で人前に出るので、できるだけ歯がない状態を見られたくない』
『前歯インプラントの仮歯っていつ入るの?どのくらいの期間つけて過ごすの?』
前歯は、笑ったときや会話のときに最も目立つ場所です。「治療中の見た目はどうなるのか」「仮歯でどこまで普段どおりの生活ができるのか」は、多くの方にとって大きな心配ごとだと思います。
前歯インプラントの治療期間や歯がない期間、仮歯の使い方は、お口の状態や治療方法によって大きく変わります。抜歯と同時にインプラントを埋入できる場合もあれば、骨や歯ぐきの状態を整えるために時間をかけた方が良い場合もあります。
このページでは、前歯インプラントを検討している方に向けて、歯がない期間の考え方や仮歯の役割、治療法ごとの違いと注意点などを、奈良県でインプラント治療を専門としているLOHASデンタルクリニック院長・福居が分かりやすく解説します。治療中の見た目や生活への不安をできるだけ減らし、納得して前歯インプラントを選んでいただくための参考になれば幸いです。
目次
仮歯には主に目的に応じて以下の2つがあります。
①テック:抜歯後の待機している期間に、歯がない見た目を改善するための仮歯(噛み合わせなどに関わらないような仮歯)のことであり、テンポラリークラウンの略称です。
②プロビ:治療の最後の最終の被せ物が入る前に、見た目などの確認のために作る仮歯のことであり、プロビジョナルレストレーションの略称です。
この記事では、「歯がない期間」について扱うので、特にこちらから言及がない場合は、①のテックについてお話ししています。

原則的なインプラント治療では、まずは骨の中にインプラントを埋入して、一定期間ご自身の骨とインプラントが骨接合(オッセオインテグレーション)をするまで歯肉の下に眠らせて、荷重がかからないようにします。
ですので、埋入した直後のインプラントには歯をつけることができないため、何かしらの方法で仮歯を接着して、見た目を回復する必要があります。
皆さんも一度、ご自身のことだと思い、想像してみてください。
残念ながら前歯を抜歯しなければならなくなってしまった時に、患者様が一番に心配されるのは「歯がない期間」についてです。
やはり審美的な理由で、前歯がないと仕事に差し支えが出てしまうことや、息漏れをしてしまって喋りづらいなど日常生活に支障をきたすため、仮歯は非常に重要になります。
ただ、仮歯を安定させるために隣の歯を削るわけにはいかないので、歯科医院にとっても仮歯は悩みの種になります。
奥歯であれば歯がない期間は多少は許容していただけますが、前歯に関してはかなり慎重に考える必要があります。
まずは一番オーソドックスなインプラント治療の流れをご説明します。
この上記の中でまず①〜⑤までの期間は歯がない状態になるので、はじめにご説明したテックが必要になります。このテックは隣の歯にくっつけて維持します。
そして二次手術を終えた後に、インプラントに直接締結できる仮歯(プロビ)を製作します。このプロビで見た目や清掃性などを確認していきます。
インプラントを埋入するタイミングに関しては下記の3つのパターンがあります。
どのタイミングを選択するかに関しては患者様の骨の状態や歯肉の状態など総合的に判断します。
抜歯と同時にインプラントが入る「抜歯即時埋入」が最も治療期間を短くできるため、テックが必要な期間も短くすることができます。
ただ、抜歯即時埋入は求められる技術も必要で、患者様のコンディションによってはリスクが高いこともあるため、しっかりと見極める診断力が求められます。
オッセオインテグレーションの期間はインプラントが埋入される骨の質によって変わります。
一般的には上顎の骨の方が柔らかく、下顎の骨が硬いとされています。
また骨粗鬆症の患者さんのように全身状態によっても変化はあるので、診断力が試されます。
一般的には下顎で3〜4ヶ月、上顎で4〜6ヶ月と言われています。
前歯のインプラント治療においては歯肉の状態もとても大切になります。
特に審美的な結果を得るためには、歯肉が左右対称で良い状態でないと綺麗なクラウンをセットする事はできません。
このため、二次手術とは別に歯肉の移植手術が必要となることもあります。
仮歯で見た目の審美性や発音、清掃性を確認し、最終的なクラウンの形を考えます。
上記で述べたように歯肉手術を行う際には仮歯の段階できっちりと仕上げた上で最後のクラウンに入っていくことをお勧めします。

インプラント二回法とは最もスタンダードな方法で、インプラント埋入後に完全に骨と歯茎の下で眠らせた状態で、インプラントの骨接合を待つ治療法になります。
この場合は二次手術が必要になるため、前歯でテックを用いなければならない期間は、抜歯直後から考えると約8ヶ月くらいになります。
インプラント一回法とは、骨の状態が良い場合に行う方法で、インプラント埋入後に完全に歯茎の下で眠らせるのではなく、ヒーリングキャップと呼ばれる部品を用いて、インプラントの頭出しをした状態でインプラントの骨接合を待つ治療法になります。
この場合は、二次手術が不要になるため、若干ですが治療期間が短くなります。
前歯でテックを用いなければならない期間は、抜歯直後から考えると約7ヶ月くらいになります。
抜歯即時インプラントとは、抜歯と同時にインプラントを埋入する方法で、抜歯後の治癒待ちの期間とインプラントが骨接合する期間を重ねることで、治療期間を短縮することができる治療法になります。
ただ、骨の状態が不安定な場合は適応症ではないので、きちんとした診断力が必要になります。
この場合は、二次手術が不要になるため、治療期間が短くなります。
前歯でテックを用いなければならない期間は約4ヶ月くらいになります。
抜歯即時埋入・即時プロビとは、抜歯と同時にインプラントを埋入し、尚且つ同日に仮歯まで締結する方法になります。
なので、即日インプラントと歯が入る治療なので、テックは必要ありません。
ただ、この術式はかなり難易度が高く、尚且つ限られた症例にしか用いることができない術式なので、かなりの診断力が必要になります。
前歯でテックを用いなければならない期間は0日になります。
| インプラント二回法 | 約8ヶ月 | 最もスタンダードで慎重な方法 |
| インプラント一回法 | 約7ヶ月 | 手術回数を減らせる |
| 抜歯即時インプラント | 約4ヶ月 | 治療期間を大幅に短縮 |
| 抜歯即時埋入・即時プロビ | 0日 | 手術当日に固定式の仮歯が入る |
抜歯即時埋入を行い、治療期間を短縮するためには、適切に歯の保存ができるのか抜歯が必要なのかの診断ができるクリニックでなければ成立しません。
また、抜歯がすでに終わってしまっていると、待時埋入を行うしかなくなってしまうので、ぜひ抜歯前に一度診断をさせて頂ければと思います。
>>抜歯と同時にインプラントが入る『抜歯即時埋入』のメリットやデメリット
前述したように前歯の仮歯には2種類あります。
①テック:抜歯後の待機している期間に、歯がない見た目を改善するための仮歯(噛み合わせなどに関わらないような仮歯)のことであり、テンポラリークラウンの略称です。
②プロビ:治療の最後の最終の被せ物が入る前に、見た目などの確認のために作る仮歯のことであり、プロビジョナルレストレーションの略称です。
①特にテックに関しては暫間的に見た目を回復するためのものになるので、まずは脱離をして患者様にご不便をかけないように注力します。
隣接する歯の状態や、欠損している歯の本数に合わせて、当院では作り方や素材を選択して作製しています。
まずは完璧でなくても、患者様が日常生活を送られる上でご不便のない見た目のもので、脱離を起こさないように歯科技工士と相談して作製します。
このテックは外さなければならないタイミングもあるため、「必要な時には外せて、普段は外れない」という難しいものになります。
患者様にも食事などであまり前歯を使わないようになど制限があるため、注意が必要になります。

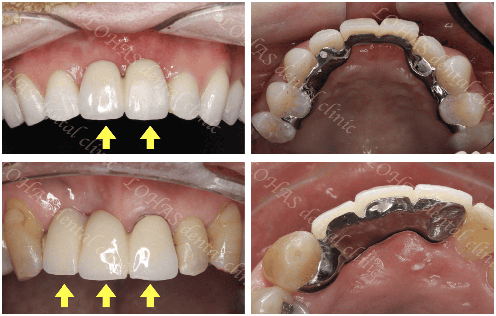
※黄矢印はテックで隣の歯と特殊なセメントで固定しています

※歯のない本数に合わせて、様々なタイプの仮歯を作製します。黄矢印が歯のない部分になります。
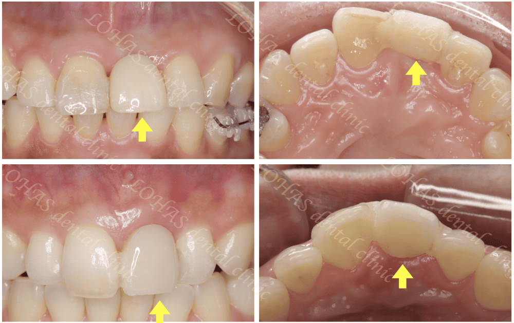
②プロビはすでに骨接合したインプラントにつけることが多い仮歯になります。
プロビの役割は前歯のインプラントの歯肉の状態の改善や、見た目の最終確認、また発音や清掃が患者さんご自身できちんと行うことができるかの確認をします。
ですので、テックと異なりしっかりと日常使いをしていただいて、最終的なセラミックのクラウンに置き換えることができる状態かの確認をしていくものになります。
患者様の状態に合わせて、形の修正や二つ目のプロビを作製して形態を煮詰めていきます。

当院ではプロビに関しては、かなり手間暇をかけて診療をしております。
なぜなら、「審美」には様々な答えがあるからです。
まずは私達歯科医師の考える審美と、その患者様の求められている審美にはギャップがあることがよくあります。
歯の色、形、質感などよりまずは患者様のイメージしている”見た目”を具現化するためにプロビを使いながら歯科技工士と同席し、形態を決めていきます。
またその患者様の求める形が機能的に許容範囲なのかを私達が確認していくことも大切な工程なので、そのためにもプロビで最終的な形態を形にしていきます。
インプラント治療は他の歯科治療と違い、再治療が難しい治療になります。
ですので、総合的に判断した上で前歯インプラント治療の計画を立てる必要があります。
そのためにはインプラントの知識や技術だけでなく、咬合(噛み合わせ)や歯周病治療などの総合力の試される治療になります。
そもそも日本人を含むアジア人は骨格が小さく、特に前歯においては骨や歯肉が薄いため、治療の難しい人種だと言われています。
そして、まずインプラントがきちんと安定するためには充分な厚みの骨が必要となるので、骨の再生療法が必要なことが多いです。
そして、次にインプラントを審美的に仕上げるためには歯肉の状態が大切になります。
ですので、歯肉の微調整や移植手術も求められます。
つまり、骨や歯肉の再生療法を適切に行うことができなければ、審美的な結果を得ることが難しいということです。
また綺麗な骨と歯肉が出来上がったとしても、最終的に装着されるクラウンが審美的なものでなければ意味がありません。
歯科技工士と歯科医師がディスカッションを行って、その患者様の口腔内に調和した補綴物を作ることが重要になります。
患者様が笑った時に見える唇のラインを「スマイルライン」と呼びます。
笑った時に唇がしっかりと上がって、歯や歯茎がしっかりと見える患者様もいらっしゃれば、少ししか歯が見えない方、患者様それぞれに合わせて十人十色の”笑顔”があります。
その笑顔に調和するようなバランスの良いクラウンを作製するためには歯科技工士との協力は必須になります。

私達LOHAS dental clinicで目指す前歯のインプラント治療は、綺麗なクラウンが入ることは当たり前なのですが、その状態をできる限り長期間維持していただくことを目標としています。
そのためにはしっかり骨の厚みや歯肉の厚みが担保されていて、噛み合わせの調整もきちんとされていることが必須になります。
またそれに加えて定期的なメインテナンスで、炎症などが起きていないか、きちんと清掃できているか、噛み合わせの変化がないかに関しては、とても大切になります。
そのほか、前歯インプラントが難しい、できないと言われる理由については、こちらのページでまとめております。
>>前歯はインプラントできない?難しい理由やできないケース、注意点など解説
一番よくある後悔は見た目がよくないという点になります。
特に前歯1本のインプラント治療の場合は、隣の天然の歯の形態や色調にピッタリと合わせなければ、左右の非対称になるため難易度はかなり高くなります。
また隣接する歯に古いクラウンが入っている場合は、その歯にも新しいクラウンを入れるかどうかでかなり難易度は変わります。
この辺りはそもそものインプラント治療の治療計画がきちんと建てられていないことが問題であるため、全体的な治療計画をしっかりと治療開始前に説明してくれるクリニックで治療を受けられることをお勧めします。
また条件がきちんと揃うようであれば、抜歯即時埋入も非常に優位性のある治療選択肢になります。
このように前歯のインプラント治療で後悔しないためにはきちんとした診断を立てた上で、治療計画と手術の術式を選んでくれる歯科医院で治療を受けていただければ幸いです。
インプラント治療後に気をつけなければならないのは「インプラント周囲炎」になります。
インプラント周囲炎に関しては下記をご参照ください。
インプラントが埋入されクラウンが装着されてから、長期的に良い状態を維持するための条件は
が必要になると言われています。
つまりそのインプラントが長期間美しく健康な状態で維持されるかは、手術や治療計画の段階で決まっているということになります。
もう一つ大切なことは、定期的にメインテナンスを行なっていくということです。
当院でも3〜6ヶ月ごとにレントゲンを撮影し、炎症が出ていないか、噛み合わせがズレてきていないかなどを確認しております。
インプラントは埋入して、クラウンをセットしたらおしまいではなく、そこから良い状態を維持するためのメインテナンスが非常に大切になります。
最後に当院で行なっている前歯のインプラント治療について少しご紹介いたします。
抜歯前にご来院いただいた場合は、まず本当にその歯の抜歯が必要かをきちんと診断致します。
その上で、どの術式が最も治療期間も短く、尚且つ審美的に治療を終えることができるかを診断していきます。歯がない部分の治療だけで終えることができることもあれば、隣接する歯に被せ物が入っていることもあるので、その場合は古い被せ物の再治療をお勧めすることもございます。
きちんとした治療計画を立てるためには、きちんとした診断が必要となるので、初回は精密検査をさせていただき、2度目のご来院の際に治療プランのご提案をさせていただきます。
治療プランが決まれば、治療期間や仮歯を使わなければならない期間も決まりますので、どのような仮歯を作れば良いかなど、具体的なプランのご説明をさせていただきます。
仮歯(プロビ)をきちんと作製し、審美性や清掃性を患者様と一緒に確認していく作業が、最も失敗のない近道となります。
プロビを歯科技工士と相談を重ねた上で作製し、その上で患者様に見た目や使い心地をご確認いただき、最終的には歯磨きがきちんとできるかを歯科衛生士も共に確認することで、最終的に素晴らしいクラウンを装着することができます。

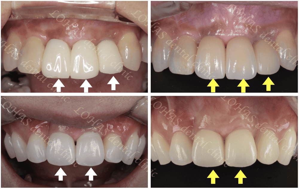
※白矢印のプロビから歯の色や清掃性を確認した上で最終的なセラミック治療(黄矢印)へ移行していきます。
当院はインプラント治療を専門とする専門医院であり、他院と比較するとインプラント治療の症例は多いです。また、他院ではインプラント治療が困難であった難症例も、ご紹介いただき当院で治療を行なっているため、患者様にはご安心いただいて、治療を受けていただけると思います。
術前にきちんと診断を立てた上で、抜歯即時治療ができる状態であれば行いますし、骨が薄すぎる場合にはきちんと骨の再生療法も行なっております。
またインプラント治療は被せ物が入ったら終わりではなく、そこからのメインテナンスがとても重要になります。
当院ではきちんとしたメインテナンスプログラムがありますので、他院でインプラント治療を受けたけれどメインテナンスができていない患者様にも来ていただけるようご準備をしております。
安心してインプラント治療を受けていただけると思います。
仮歯(テック)を抜歯前に準備することにより、歯がない期間をゼロにすることはできます。
その患者様のお口の中の状況によってご準備するテックの種類は異なりますので、抜歯を行う前に予めご相談をいただけますと幸いです。
仮歯のまま長期間過ごすことはあまりお勧めしておりません。
というのも、仮歯(テック)は若干不安定な要素もありますので、突然外れる可能性もあります。
またプロビも素材はプラスチックでセラミック等に比べると汚れがつきやすいなどのデメリットもありますので、ある程度の期間で、長期的に安定するセラミック等の最後のクラウンに置き換えることをお勧めしております。
当院には他院での治療途中で不安になり、セカンドオピニオンを使ってご相談に来られる患者様が多数いらっしゃいます。その後、元々のかかりつけ歯科で治療を継続される方もいらっしゃれば、転院される患者様もいらっしゃるので、ご安心いただければと思います。
治療期間や患者様の身体への負担を考える時に、まず患者様に一番負担が少ない治療を考えるようにします。
やはり、抜歯即時埋入は患者様へのメリットがとても多いので、適応が可能かどうかに関してはきちんと診断を立てています。
条件が整い、抜歯即時埋入をして、即時で仮歯(プロビ)を装着することができると非常に治療期間を短くすることができるため、恩恵が大きいと思います。
ただ上記で述べたように、抜歯即時埋入は適応される条件が限られているため、適応外の患者様に行うと取り返しのつかない状態となってしまいます。
ですので、患者様にとって長期的に安心していただけるベストな治療プランが何なのかをきちんとご相談した上で治療プランはご提案するようにしています。

福居 希(医学博士、口腔外科認定医)
大阪医科大学口腔外科で口腔外科認定医および医学博士を取得した。またアメリカのカリフォルニア大学(UCLA)のインプラント科へ留学し、インプラント治療を学んだ。
ご予約・お問い合わせ0742-93-8363
| 診療時間 | 月 | 火 | 水 | 木 | 金 | 土 | 日 |
|---|---|---|---|---|---|---|---|
| 09:00〜17:30 | ● | ● | ● | - | ● | ● | - |
【休診日】木曜・日曜・祝日
(※土曜にセミナーがある週は木曜に振替診療します)
・休憩時間:12:30〜13:30(60分)
・最終電話受付:17:00まで
近鉄奈良線、京都線・橿原線
大和西大寺駅下車 北口より徒歩3分
クリニックに併設されている駐車スペースですが、5月以降は建物の共有スペースとなりますため、ご利用がいただけなくなります。
車でお越しの方は、恐れ入りますが近隣の駐車場をご利用ください。
※長時間のオペに関しては許可をいただいておりますので、利用希望の際は予め受付にお申し出ください。