26/02/19
前歯インプラントの歯がない期間はどれくらい?仮歯の役割と過ごし方について
全ての歯が揺れているとのことでインプラント治療が可能かを知りたくて来院してくださいました。
まだ若い患者様だったのですが、以前から重度の歯周病に悩まれており、かかりつけの歯科医院でもこれ以上は治療ができないと言われていたそうです。
歯が動揺しており、病的な位置移動なども起こしていたため、見た目も気にされていました。

ほとんどの歯が重度な歯周病になっており、レントゲンやCT撮影などの検査を行いましたが、これ以上の治療は困難な状態でした。
歯が自然に脱落するまで待つという選択肢もありますが、歯周病が進行してしまうと歯を支える骨も同時になくなってしまうので、次のインプラントや入れ歯の処置が難しくなります。
患者様と色々と将来的なことも相談した上で、インプラントをするかどうかに関わらず、まずは全部の歯を抜いて一旦安定して噛めるような義歯を作ることで治療プランは決まりました。
抜歯の際には骨の厚みなどができる限り温存できるように歯槽堤保存術を行いました。
(歯槽堤保存術に関してはこちらをご参照ください。https://nara-implant.com/column/socket-preservation/)
歯がない期間が最小限にするために、抜歯をする事前に義歯を作製し、抜歯と同時に一つ目に治療用の義歯をセットしました。この義歯は抜歯をした歯茎の上に乗るので、適合が良いものにはなりませんが、見た目を補うことを目的としています。可能な限り抜歯前に義歯を作製し、歯がない期間を最小限にするようにしています。

そこから、歯茎や骨がしっかりと治るまでの経過を見て、その後新たに治療用の義歯を作製しました。この二つ目の義歯で口元の見え方や発音、違和感などを確認していきます。
特にこの患者様にとっては初めての義歯なので、どこまで使いこなすことができるかを慎重に判断していきます。この患者様は想像していたよりも義歯を積極的に使ってくださり、使いこなすことも非常に上手で、違和感なく治療用義歯を使ってくださいました。

ここからゴシックアーチと呼ばれる顎の動きを描写する技法などを用いて治療用の義歯を最終の義歯に置き換えられるように煮詰めていきます。

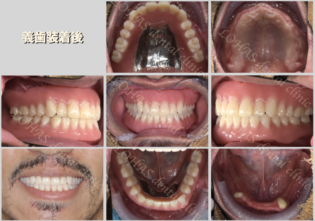
こちらが最終の義歯装着後です。
歯がある頃はうまく食べられない食事が多かったようですが、義歯にしてから逆にしっかりと食べられるようになったと喜んでくださいました。
審美的にもご満足いただき、良い結果が得られたかなと思います。
当院の義歯作成に関しては、義歯作製を専門としている歯科技工士と協力して治療を行っているので、患者様にご満足いただけます。
またこの患者様はまだまだお若く、今後どこかのタイミングでインプラント治療に切り替える可能性もあるので、今後も定期的に義歯に問題がないかなど、メインテナンスをしていければと思います。
LOHASデンタルクリニックにはこのような治療ができる素晴らしいチームが揃っていますので、ぜひインプラントや義歯にお悩みの方は一度ご相談ください。
| 年代・性別 | 40代・男性 |
| 治療のリスク・副作用 | ・外科処置が伴うため、術後に痛みや腫れ、出血を伴います。 ・義歯の使用に伴い、咬合が変化する可能性があるので、定期的に歯科医院でメインテナンスが必要になります。 |
| 治療期間 | 約12ヶ月 |
| 治療費用 | 総額:97万円(税込み) 内訳: ・即時義歯(上下顎):6.6万円(税込み) ・歯槽堤保存術(上下顎):20万2千円(税込み) ・コバルト製金属床義歯:70万4千円(税込み) |

福居 希(医学博士、口腔外科認定医)
大阪医科大学口腔外科で口腔外科認定医および医学博士を取得した。またアメリカのカリフォルニア大学(UCLA)のインプラント科へ留学し、インプラント治療を学んだ。
現在はフリーランス外科医として出張手術を行う傍ら、スタディーグループsurgical Implant Instituteを主宰し若手歯科医師を対象にインプラント外科を教える場の提供や講演会などでの発表をおこなっている。
ご予約・お問い合わせ0742-93-8363
| 診療時間 | 月 | 火 | 水 | 木 | 金 | 土 | 日 |
|---|---|---|---|---|---|---|---|
| 09:00〜18:00 | ● | ● | ● | - | ● | ● | - |
【休診日】木曜・日曜・祝日
(※土曜にセミナーがある週は木曜に振替診療します)
・休憩時間:12:30〜13:30(60分)
・最終受付時間:1時間前(17:00まで)
近鉄奈良線、京都線・橿原線
大和西大寺駅下車 北口より徒歩3分
クリニックに併設されている駐車スペースですが、5月以降は建物の共有スペースとなりますため、ご利用がいただけなくなります。
車でお越しの方は、恐れ入りますが近隣の駐車場をご利用ください。
※長時間のオペに関しては許可をいただいておりますので、利用希望の際は予め受付にお申し出ください。